Every toothbrush cleans mechanically through direct contact of the bristles with the teeth, removing plaque and discoloration. But the edel+white Sonic Generation 8 Winner® goes far beyond this.
With up to 42,000 movements per minute, it achieves a speed that a manual toothbrush can never reach – that’s over 100 times faster than what you can achieve with a manual toothbrush.
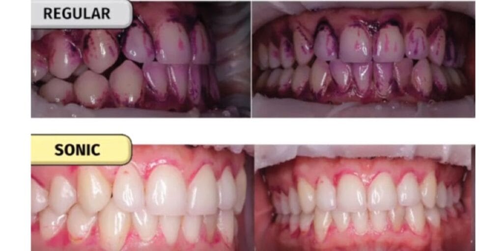
The rapid sonic movement creates small waves of saliva and toothpaste in the mouth, comparable to a wave bath. These fluid movements penetrate deep between your teeth and under the gums and rinse away bacteria and food residue – without the bristles having to touch everything directly.
Periodontist Dr. Tamara Volinska was initially sceptical until she tested the edel+white Sonic Generation Health Suite in a clinical study. Today, she recommends the sonic toothbrush to everyone due to its superior cleaning performance.
The University of Basel has confirmed that non-contact cleaning with the Sonic Generation 8 Winner® removes plaque even in places where the bristles cannot reach directly.
The University of Liverpool has even measured that the hydrodynamic waves penetrate up to 2-3 millimetres beyond the bristles into the interdental spaces.
Prof. Dr. med. dent. Ulrich P. Saxer, a renowned expert in modern dental hygiene, confirms this: With the hydrodynamic sonic toothbrush, your entire interdental space is effectively cleaned – both mechanically by the bristles and by the fluid movement.
If you brush carefully on both the outside (buccal) and inside (lingual), the Sonic Generation Health Suite ensures thorough, gentle and complete cleaning down to every space in between.

The University of Basel has confirmed that non-contact cleaning with the Sonic Generation 8 Winner® removes plaque even in places where the bristles cannot reach directly.
The University of Liverpool has even measured that the hydrodynamic waves penetrate up to 2-3 millimetresbeyond the bristles into the interdental spaces.
Welcome to the new era of self-care!
Same Love, New Look. Our online store lachstark.ch has evolved—and now has a new name: CAREISTA.ch 🎉.
Let’s stay in touch! We’ll be in touch from time to time with exciting offers, topics, and new releases.
You are currently viewing a placeholder content from Vimeo. To access the actual content, click the button below. Please note that doing so will share data with third-party providers.
More InformationYou are currently viewing a placeholder content from YouTube. To access the actual content, click the button below. Please note that doing so will share data with third-party providers.
More InformationYou need to load content from reCAPTCHA to submit the form. Please note that doing so will share data with third-party providers.
More Information